Все разделы
  • Отзывы
  • Ответы
  • Все рубрики
  • Все эксперты
  • Все статьи
  • Реклама
  • Стать экспертом! new
  • English version
  • Зарегистрироваться
Войти
  • Главная
  • ElenaSvirko
  • Альбомы эксперта
  • Художественная реставрация зубов
ElenaSvirko
ElenaSvirko Эксперт
97
7 подписчиков
+ Стоматолог
Форум (4)
Статьи (4)
Отзывы (2)
Фотоальбомы (3)
Спросить
Фотоальбом «Художественная реставрация зубов»
5 фото
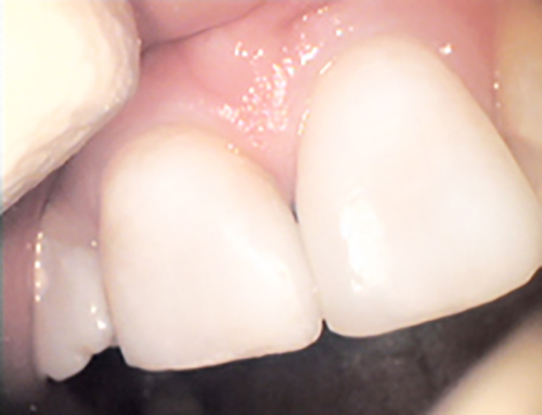
Художественная реставрация фронтального зуба
5 статей эксперта
  • Как правильно чистить зубы, чтобы реже посещать стоматолога
  • Лечение кисты на зубах с помощью микроскопа и лазера
  • Как укрепить волосы с помощью косточки авокадо
  • Как побороть страх лечить зубы
  • Все статьи
Последние вопросы на форуме эксперта
  • Как можно укрепить десна?
    Какие существуют средства для профилактики заболеваний десен.
  • Что лучше по соотношению цена-качество
    Елена! Что лучше по соотношению цена-качество: виниры керамические, виниры композитные и люминиры. ravilcyprus@mail.ru
  • Спросить эксперта
  • О нас
  • Все рубрики
  • Все эксперты
  • Все статьи
  • Реклама
  • Соглашение
Приложения:
Android
iOS
Группы в соцсетях:
Работает на RelevantMedia
Размещенные на сайте материалы, включая статьи, могут содержать информацию, предназначенную для пользователей старше 18 лет, согласно Федерального закона №436-ФЗ от 29.12.2010 года "О защите детей от информации, причиняющей вред их здоровью и развитию". 18+.
Войти на сайт
или
Забыли пароль?
Еще не зарегистрированы?
Этот сайт защищен reCAPTCHA; применяются Политика конфиденциальности и Условия использования Google.